E-ISSN 2218-6050 | ISSN 2226-4485
 

Case Report


Open Veterinary Journal, (2021), Vol. 11(4): 724–727

Case Report

10.5455/OVJ.2021.v11.i4.24

Congenital portosystemic shunt concurrent with an atrial septal defect in a Maltese dog

Dongwook Kim, Dongwoo Chang and Gonhyung Kim*

Veterinary Teaching Hospital, College of Veterinary Medicine, Chungbuk National University, Cheongju, Korea

*Corresponding Author: Gonhyung Kim. Department of Veterinary Surgery, College of Veterinary Medicine, Chungbuk National University, Cheongju, Korea. Email: ghkim [at] cbu.ac.kr

Submitted: 26/08/2021 Accepted: 22/11/2021 Published: 17/12/2021


Abstract

Background: Portosystemic shunt and atrial septal defect (ASD) are generally congenital diseases in dogs. Rarely, dogs with congenital vascular anomalies could be related to other vascular anomalies.

Case Description: A 1-year-old male Maltese dog, neutered and weighing 1.7 kg, was brought in for an additional assessment of a congenital portosystemic shunt (CPSS). CPSS was diagnosed as portocaval shunt by computed tomography. Surgical attenuation was performed. Although prognosis after CPSS attenuation was good, the dog was presented with exercise intolerance 1 year after the operation. Thoracic radiographs observed generalized cardiomegaly. Echocardiography revealed pulmonary hypertension and right-to-left shunting ASD.

Conclusion: The present study reports a rare case of CPSS concurrent with ASD in a dog. As dogs with CPSS might have been associated with other vascular anomalies; therefore, echocardiography is recommended for early diagnosis of other cardiovascular anomalies.

Keywords: Atrial septal defect, Dog, Echocardiography, Portosystemic shunt, Pulmonary hypertension.


Introduction

Congenital portosystemic shunt (CPSS) is a vascular anomaly that enters systemic circulation through abnormal vascular connections, bypassing the liver. These abnormal conditions can cause various clinical symptoms ranging from gastrointestinal and urinary symptoms to neurological symptoms (Worley and Holt, 2008). Medical treatment for CPSS includes protein-restricted diet, antimicrobial therapy, and treatment with lactulose. Surgical attenuation of the shunt can be performed using an ameroid ring constrictor, a cellophane band, or suture ligation. In general, surgical attenuation shows a better prognosis than medical treatment (Greenhalgh et al., 2010). Atrial septal defect (ASD) is a relatively rare congenital heart defect, accounting for about 3% of all congenital heart defects in dogs. Significant clinical symptoms of ASD include exercise intolerance, cyanosis, and syncope. Nearly half of the dogs with ASD show clinical symptoms, while the other half are asymptomatic (Tidholm, 1997). Medication for dogs with ASD focuses on reducing systemic vascular resistance and venous congestion (Guglielmini et al., 2002). Surgical and interventional treatments for ASD closure are additional options (Sanders et al., 2005; Gordon et al., 2010). Although some dogs with ASD need medical or surgical management, treatment for dogs with minor and uncomplicated defects is usually unnecessary (Guglielmini et al., 2002). When dogs have one congenital vascular anomaly, they might have more than one. A previous study has reported that 11 of 151 dogs have different combinations of congenital heart defects (Tidholm, 1997). However, as a combination of CPSS and ASD was rarely reported in a dog, the purpose of the present study was to describe a case of CPSS concurrent with ASD in a Maltese dog.


Case Details

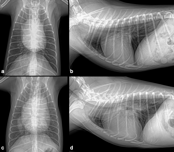
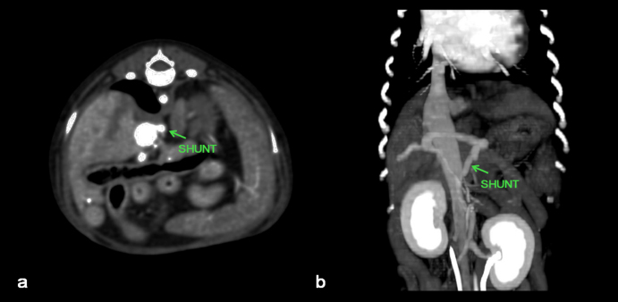
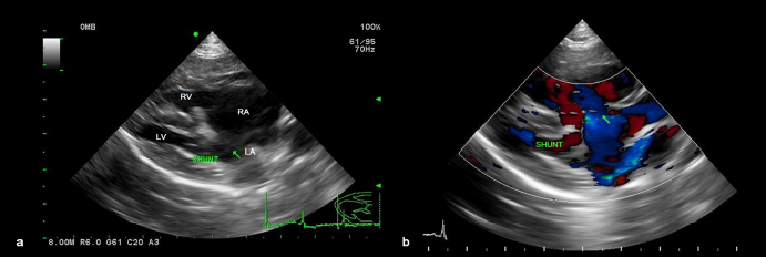
A 1-year-old neutered male Maltese dog weighing 1.4 kg was referred to the Veterinary Teaching Hospital showing microhepatica (Fig. 1a) and hyperammonemia. The dog did not show clinical signs related to portosystemic shunt previously. Although its postprandial ammonia level was in the reference range [18 μmol/l, reference interval (RI): 0–98 μmol/l], hypoalbuminemia (2.1 g/dl, RI: 2.6–3.3 g/dl) and increased levels of serum bile acid (177 μmol/l, RI: 0–25 μmol/l), alanine transaminase (ALT) (254 IU/l, RI: 21–102 IU/l), and alkaline phosphatase (ALP) (1347 IU/l, RI: 29–97 IU/l) were identified. No abnormalities, including cardiac murmur, were observed during physical examination. For a more thorough examination, computed tomography was used, and a CPSS (porto-caval shunt) was diagnosed (Fig. 2a and b). After preoperative medical stabilization, surgery was performed for shunt attenuation. Anesthesia was induced with propofol (8 mg/kg, IV) and maintained by isoflurane. Perioperative pain was managed by tramadol (5 mg/kg, IV). From the xiphoid process to the pubis, a standard ventral midline approach was taken. After dissecting the shunt from surrounding tissues, portal pressure was measured from the jejunal vein. Baseline portal pressure was measured to be approximately 7–8 mmHg (RI: 6–10 mmHg). It increased to 13–14 mmHg after temporary complete occlusion of the shunt. The shunt was attenuated using a cellophane band. The abdominal cavity was closed in a routine manner. Its recovery from anesthesia was uneventful. Postprandial serum bile acid (12 μmol/l), albumin (2.6 g/dl), and ALT (29 IU/l) levels returned to their normal ranges at 1 month after the operation. Its serum ALP level also decreased to 430 IU/l, although it was above the RI. An increase in liver size was observed by abdominal radiographs 1 month after surgery (Fig. 1b). Because the majority of the CPSS anomalies were cured throughout the follow-up period, the dog was able to return to normal life without the need for supporting medicine. One year after surgery, the dog was presented to the Veterinary Teaching Hospital for exercise intolerance. Blood gas analysis revealed hypoxemia (73.6%, RI: 95%–99%). A cardiac murmur was auscultated. When compared with thoracic radiographs evaluated at the time of the operation (Fig. 3a and b), the vertebral heart scale increased from 10 to 11.7, indicating generalized cardiomegaly (Fig. 3c and d). Following echocardiography revealed ASD and pulmonary hypertension (Fig. 4a and b). A bubble study confirmed right-to-left shunt. Surgical or interventional therapy was not contemplated due to the dog's tiny size (1.7 kg) and reversed interatrial shunt. Thus, medical treatment was performed to reduce pulmonary hypertension (sildenafil, 1.5 mg/kg, PO, q12 hours). Hypoxemia was improved (94%) after a month of treatment. The dog's activity intolerance had been overcome, according to the owner. As a response to the medical treatment was generally good, therapy was still maintained without changing medication for the next 16 months after diagnosis of the ASD.

Fig. 1. Preoperative abdominal radiograph revealed microhepatica (a). An increased liver size was seen in abdominal radiograph one month after the operation (b).

Fig. 2. Cross (a) and sagittal (b) views of CT images showing a congenital extrahepatic portosystemic shunt.

Fig. 3. Thoracic radiographs. When compared with preoperative images (a, b), generalized cardiomegaly was observed at one year after the operation (c, d).

Fig. 4. Echocardiography (right parasternal long-axis four-chamber view) showed an atrial septal defect (a) and color Doppler revealed a right-to-left shunt (b).


Discussion

The present study described a dog with two types of vascular anomalies. Similar to a previous study (Greenhalgh et al., 2010), the dog showed a good prognosis after surgical attenuation of the CPSS. Cardiomegaly was not seen on preoperative thoracic radiographs, despite the fact that ASD was suspected at the time of CPSS diagnosis. ASD is generally a well-compensated disease (Chetboul et al., 2006) and the dog may show no clinical symptoms over 2 years. When it was presented 1 year after the operation, the chief complaint was exercise intolerance of the dog. Compared with the previous clinical data on the dog, it could be suspected that ASD caused pulmonary hypertension, which might have resulted in a right-to-left shunt (Guglielmini et al., 2002). This hemodynamic physiology is generally defined as Eisenmenger’s syndrome, which can cause cyanosis and exercise intolerance (Berger et al., 2010). In veterinary medicine, surgical treatment for ASD is challenging for small-sized dogs (Pelosi et al., 2013). Although a case of ASD closure in a toy poodle was recently published (Sugimoto et al., 2020), owing to the dog's pulmonary hypertension and reversed interatrial shunt, surgical and interventional therapy for the dog was not explored in the current investigation. Surgical treatment for Eisenmenger’s syndrome, such as heart-lung transplantation, has been performed in human medicine. However, its morbidity and mortality remain high (Waddell et al., 2002). As an alternative to surgical treatment, medical management by sildenafil can be effectively applied to patients with this condition (Garg et al., 2011). The dog in the present study also responded well to sildenafil, and its clinical symptoms were resolved. In previous human medicine studies, about 9% to 30% of patients have CPSS concurrent with ASD (Franchi-Abella et al., 2010; Kim et al., 2012). Like human medicine, this study reports a rare case of CPSS concurrent with ASD in a dog. Because congenital heart illnesses are easily recognized by echocardiography, it is also suggested for dogs with CPSS to get an echocardiogram for early detection of additional cardiovascular defects, even if there are no symptoms.

Conflict of interest

The authors declare that there is no conflict of interest.

Authors’ contributions

All authors contributed to the study and approved the final manuscript.


References

Berger, R.M.F., Beghetti, M., Galiè, N., Gatzoulis, M.A., Granton, J., Lauer, A., Chiossi, E. and Landzberg, M. 2010. Atrial septal defects versus ventricular septal defects in BREATHE-5, a placebo-controlled study of pulmonary arterial hypertension related to Eisenmenger’s syndrome: a subgroup analysis. Int. J. Cardiol. 144, 373–378.

Chetboul, V., Charles, V., Nicolle, A., Sampedrano, C.C., Gouni, V., Pouchelon, J.L. and Tissier, R. 2006. Retrospective study of 156 atrial septal defects in dogs and cats (2001–2005). J. Vet. A Physiol. Pathol. Clin. Med. 53, 179–184.

Franchi-Abella, S., Branchereau, S., Lambert, V., Fabre, M., Steimberg, C., Losay, J., Riou, J.Y., Pariente, D., Gauthier, F., Jacquemin, E. and Bernard, O. 2010. Complications of congenital portosystemic shunts in children: therapeutic options and outcomes. J. Pediatr. Gastroenterol. Nutr. 51, 322–330.

Garg, N., Tripathy, N. and Sinha, N. 2011. Comparative efficacy of sildenafil in Eisenmenger’s syndrome secondary to atrial septal defect versus ventricular septal defect: a cardiac catheterisation follow-up study. Cardiol. Young. 21, 631–638.

Gordon, S.G., Nelson, D.A., Achen, S.E., Miller, M.M., Roland, R.M., Saunders, A.B. and Drourr, L.T. 2010. Open heart closure of an atrial septal defect by use of an atrial septal occluder in a dog. J. Am. Vet. Med. Assoc. 236, 434–439.

Greenhalgh, S.N., Dunning, M.D., McKinley, T.J., Goodfellow, M.R., Kelman, K.R., Freitag, T., O’Neill, E.J., Hall, E.J., Watson, P.J. and Jeffery, N.D. 2010. Comparison of survival after surgical or medical treatment in dogs with a congenital portosystemic shunt. J. Am. Vet. Med. Assoc. 236, 1215–1220.

Guglielmini, C., Diana, A., Pietra, M. and Cipone, M. 2002. Atrial septal defect in five dogs. J. Small Anim. Pract. 43, 317–322.

Kim, M.J., Ko, J.S., Seo, J.K., Yang, H.R., Chang, J.Y., Kim, G.B., Cheon, J.E. and Kim, W.S. 2012. Clinical features of congenital portosystemic shunt in children. Eur. J. Pediatr. 171, 395–400.

Pelosi, A., Anderson, L.K., Paugh, J., Robinson, S. and Eyster, G.E. 2013. Challenges of cardiopulmonary bypass-a review of the veterinary literature. Vet. Surg. 42, 119–136.

Sanders, R.A., Hogan, D.F., Green III, H.W., Hoyer, M.H. and Puppel, D.A. 2005. Transcatheter closure of an atrial septal defect in a dog. J. Am. Vet. Med. Assoc. 227, 430–434.

Sugimoto, K., Mochizuki, Y., Kanda, T., Ohnishi, A., Miyabe, M., Wada, Y., Kochi, M. and Aoki, T. 2020. Atrial septal defect closure in a midget toy poodle. Open Vet. J. 10, 11–15.

Tidholm, A. 1997. Retrospective study of congenital heart defects in 151 dogs. J. Small Anim. Pract. 38, 94–98.

Waddell, T.K., Bennett, L., Kennedy, R., Todd, T.R.J. and Keshavjee, S.H. 2002. Heart-lung or lung transplantation for Eisenmenger syndrome. J. Heart Lung Transplant. 21, 731–737.

Worley, D.R. and Holt, D.E. 2008. Clinical outcome of congenital extrahepatic portosystemic shunt attenuation in dogs aged five years and older: 17 cases (1992–2005). J. Am. Vet. Med. Assoc. 232, 722–727.



How to Cite this Article
Pubmed Style

Kim D, Chang D, Kim G. Congenital portosystemic shunt concurrent with an atrial septal defect in a Maltese dog. Open Vet. J.. 2021; 11(4): 724-727. doi:10.5455/OVJ.2021.v11.i4.24


Web Style

Kim D, Chang D, Kim G. Congenital portosystemic shunt concurrent with an atrial septal defect in a Maltese dog. https://www.openveterinaryjournal.com/?mno=115696 [Access: January 25, 2026]. doi:10.5455/OVJ.2021.v11.i4.24


AMA (American Medical Association) Style

Kim D, Chang D, Kim G. Congenital portosystemic shunt concurrent with an atrial septal defect in a Maltese dog. Open Vet. J.. 2021; 11(4): 724-727. doi:10.5455/OVJ.2021.v11.i4.24



Vancouver/ICMJE Style

Kim D, Chang D, Kim G. Congenital portosystemic shunt concurrent with an atrial septal defect in a Maltese dog. Open Vet. J.. (2021), [cited January 25, 2026]; 11(4): 724-727. doi:10.5455/OVJ.2021.v11.i4.24



Harvard Style

Kim, D., Chang, . D. & Kim, . G. (2021) Congenital portosystemic shunt concurrent with an atrial septal defect in a Maltese dog. Open Vet. J., 11 (4), 724-727. doi:10.5455/OVJ.2021.v11.i4.24



Turabian Style

Kim, Dongwook, Dongwoo Chang, and Gonhyung Kim. 2021. Congenital portosystemic shunt concurrent with an atrial septal defect in a Maltese dog. Open Veterinary Journal, 11 (4), 724-727. doi:10.5455/OVJ.2021.v11.i4.24



Chicago Style

Kim, Dongwook, Dongwoo Chang, and Gonhyung Kim. "Congenital portosystemic shunt concurrent with an atrial septal defect in a Maltese dog." Open Veterinary Journal 11 (2021), 724-727. doi:10.5455/OVJ.2021.v11.i4.24



MLA (The Modern Language Association) Style

Kim, Dongwook, Dongwoo Chang, and Gonhyung Kim. "Congenital portosystemic shunt concurrent with an atrial septal defect in a Maltese dog." Open Veterinary Journal 11.4 (2021), 724-727. Print. doi:10.5455/OVJ.2021.v11.i4.24



APA (American Psychological Association) Style

Kim, D., Chang, . D. & Kim, . G. (2021) Congenital portosystemic shunt concurrent with an atrial septal defect in a Maltese dog. Open Veterinary Journal, 11 (4), 724-727. doi:10.5455/OVJ.2021.v11.i4.24