E-ISSN 2218-6050 | ISSN 2226-4485
 

Research Article


Open Veterinary Journal, (2025), Vol. 15(6): 2395-2407

Research Article

10.5455/OVJ.2025.v15.i6.12

Efficacy of vitamin B12 treatment on the adrenal gland of propylthiouracil-induced hypothyroid rats

May T. Ajeel1*, Hazar S. Saleh1, Aisha M. Din2, Fatima Alashkham3 and Rozzana M. Said2

1Department of Biology, College of Education for Pure Sciences, University of Thi-Qar, Nasiriyah, Iraq

2Department of Basic Sciences, Faculty of Health Sciences, University Teknologi MARA, Shah Alam, Malaysia

3Intensive Care Department, University of Zawia City, Zawia City, Libya

*Corresponding Author: May T. Ajeel. Department of Biology, College of Education for Pure Sciences, University of Thi-Qar, Nasiriyah, Iraq. Email: maytalib.23bio2 [at] utq.edu.iq

Submitted: 08/01/2025 Revised: 28/04/2025 Accepted: 13/05/2025 Published: 30/06/2025


Abstract

Background: Hypothyroidism is characterized by insufficient production of thyroid hormones, which are crucial for metabolism. It often causes adrenal gland disturbances.

Aim: To evaluate the effect of vitamin B12 supplementation on adrenal gland disturbance in propylthiouracil-induced hypothyroid rats.

Methods: Forty female rats were divided into four groups. Group 1 received normal saline. Group 2 received only vitamin B12 supplementation. Group 3 received 50 mg/kg of propylthiouracil (PTU). Group 4 received PTU and 25 µg/kg of vitamin B12. At the end of the experiment and after the animals’ dissection, serum levels of thyroid-stimulating hormone (TSH), cortisol, epinephrine, and vitamin B12 were analyzed. The adrenal gland and thyroid glands were examined histologically.

Results: The results of the present study revealed a significant increase in TSH hormone (2.23 ± 0.44) and epinephrine hormone (371.74 ± 24.29) in the hypothyroid group compared with the control group, while there is a significant decrease in cortisol hormone (88 ± 17.97) and vitamin B12 (297.52 ± 12.51) in the hypothyroid group compared with the control group, where the level of hormones in the (hypothyroid rats +B12) group became close to the level of hormones in the control group as well as significantly decreased TSH and epinephrine levels and increased cortisol and vitamin B12 serum levels. Histopathology examination showed that vitamin B12 reversed the adrenal gland damage caused by hypothyroidism, restoring the normal tissue structure.

Conclusion: Vitamin B12 mitigates hypothyroidism-induced adrenal gland damage by restoring hormonal balance and tissue integrity.

Keywords: Adrenal gland, Cortisol, Epinephrine, Hypothyroidism, Vitamin B12.


Introduction

The adrenal glands are key organs in the endocrine system that play crucial roles in the hormonal regulation of immune responses (Pignatti and Flück, 2021) as the cortex secretes steroid hormones that regulate body homeostasis in response to chronic stress, while the medulla synthesizes epinephrine and norepinephrine that modulate acute stress response (Connell and Davies, 2005). The functional integrity of the adrenal glands is often influenced by systemic endocrine disorders, including hypothyroidism (Tohei A, 2004). Hypothyroidism is a common endocrine disorder resulting from the thyroid’s gland inability to produce a sufficient amount of thyroid hormone responsible for regulating metabolic processes in the body (Shahid and Cetera, 2023). Hypothyroidism may functionally have an effect on the development of the adrenal gland cortex, its hormone production, and the adrenal medulla, further exacerbating systemic metabolic dysregulation (Patyra et al., 2022). Propylthiouracil (PTU) is a medication commonly used to manage hyperthyroidism by inhibiting thyroid hormone synthesis. However, it might induce hypothyroidism as a side effect (Tiwari et al., 2022), thereby complicating adrenal gland function. Vitamins play a crucial role in maintaining adrenal gland function, as the adrenal gland regulates stress, metabolism, and hormone production. Vitamin B12, or cobalamin, is a water-soluble vitamin vital for metabolism. It serves as a cofactor in DNA synthesis, fatty acid metabolism, and amino acid metabolism (Green et al., 2017). It can also act as an antioxidant and increased pro-oxidant and low antioxidant status are the consequences of a lack of vitamin B12 status (van de Lagemaat et al., 2019). Moreover, vitamin B12 has a complex structure consisting of corrin (porphyrin-like structure ) and contains the cobalt atom necessary for the growth, development of the nervous system and maintaining the normal function of neurons also, works to form myelin as well as axons of the nervous system (Mathew et al., 2024). In this context, some studies suggest that vitamin supplementation may improve endocrine function. Therefore, this study proposes the following hypothesis: “Vitamin supplementation in hypothyroid individuals may enhance adrenal function by regulating cortisol and epinephrine levels, reducing the negative effects of hypothyroidism on adrenal responsiveness.” This study aims to evaluate the pathological changes in the adrenal glands induced by hypothyroidism and to explore the potential role of vitamin B12 supplementation on hormonal regulation and histopathological changes in the adrenal glands.


Materials and Methods

Animal treatment and blood and tissue collection

This study was conducted in adherence to ethical guidelines for the care and use of laboratory animals and was approved by the Thi-Qar Ethical Committee for Animal Research (Issue/54/1727; Date February 23, 2024, eleven people in the committee). Female rats weighing 170–230 g and aged 12–14 weeks were housed under controlled environmental conditions (22°C ± 2°C temperature, 12-hour light-dark cycle) in the animal facility at the College of Education Pure Sciences, Thi-Qar University.

Animals had ad-libitum access to standard rat feed and water during the 2-week acclimatization period and the subsequent experimental study. The rats were equally and randomly divided into 4 groups of 10 rats with ad libitum access to standard chow and water. Group 1 (Control) was treated with normal saline intraperitoneally (i.p.), while Group 2 (B12) received an i.p. dose of vitamin B12 days (Mohamed et al., 2023). Group 3 (PTU) received oral gavage of 50 mg/kg PTU to induce hypothyroidism daily for 21 days (AL-Saeed and AL-Rufaei, 2018). Group 4 (hypothyroid + B12) was treated with the same dose of PTU and i.p. injection of 25 µg/kg vitamin B12 twice a week for 28 days. Rats from each group were anesthetized using ether and euthanized. Blood samples were collected from anesthetized rats’ hearts using disposable 5 ml syringes between 11.AM and 1.00 P.M. Blood samples were collected and centrifuged at 3,000 rpm for 15 minutes. Serum samples were in stored Eppendorf tubes at –20ºC until required for hormonal analysis.

Biochemical measurements

All biochemical measurements were performed according to standard protocols.

Serum thyroid-stimulating hormone was determined using commercial kits thyroid-stimulating hormone (TSH, Sigma-Aldrich, Elisa kit Cat. No: SE120135), cortisol (COR, BT LAB, Elisa kit Cat. No: E0828Ra), epinephrine (EPI, BT LAB, Elisa kit Cat. No: EA0043Ra), and vitamin (B12, Fine Test Elisa kit Cat. No: EU2539). After removal from storage (–20°C or 80°C), serum samples were melted at 4°C and then brought to standard temperature (˜22°C). The samples were gently mixed to ensure homogeneity without foaming. A microplate well is coated with an anti-TSH antibody, and TSH-containing samples, standards, and controls are added. After washing to remove unbound components, an enzyme-conjugated anti-TSH antibody was introduced, forming a “sandwich” with the captured TSH. A chromogenic substrate is then added, causing a color change proportional to the TSH concentration. The reaction was stopped, and absorbance was measured at 450 nm using a spectrophotometer. TSH concentration was determined by comparing absorbance values to a standard calibration curve. The Cor, Epi hormones, and B12 underwent the same procedure. The adrenal glands of all groups were excised for histopathological examination.

Histopathological examination

The adrenal glands were carefully excised and sectioned transversely before being placed in labeled histology cassettes. Each specimen was trimmed to a uniform thickness of 5 mm and immediately fixed in 10% neutral buffered formalin for 48 hours to preserve tissue architecture. Following fixation, specimens were rinsed in distilled water and dehydrated using a graded ethanol series for dehydration. Tissues were then embedded in paraffin wax at 70°C to facilitate sectioning. Paraffin-embedded blocks were cut into thin sections, approximately 5 µm in thickness using a microtome. The prepared sections were mounted onto glass slides and stained with hematoxylin and eosin. Slides were examined under a light microscope (Leica DM500-Germany) to assess histopathological changes in the adrenal and thyroid tissues. (Sumaya and Saleh, 2023).

Statistical analysis

The study results were evaluated using a one-way analysis of variance test. After examining for normal distribution of the data followed (Turkey’s test) to make comparisons between all groups, statistical calculation was conducted using SPSS version 21 (SPSS Inc). Results were expressed as mean ± SD. Statistically significant levels were set at p < 0.05.


Results

Effect of vitamin B12 administration on serum TSH, epinephrine, and cortisol

Figure 1 shows that TSH levels were significantly increased by (2.23 ± 0.44) in the hypothyroidism group compared with the control group (0.63 ± 0.18). In the vitamin B12-only group, the TSH level was comparable to control (0.47 ± 0.17). Meanwhile, the combination treatment of vitamin B12 and PTU showed that the TSH level was similar to the control level (0.67 ± 0.29). Cortisol levels were significantly decreased by (88.94 ± 17.97) when treated with PTU compared to the control (134.45 ± 12.11), as shown in Figure 2. However, rats treated with vitamin B12 alone maintained a cortisol level of (104.71 ± 13.93) similar to the control group. Similarly, in rats treated with PTU and vitamin B12, the level of cortisol (135.79± 14.15) remained similar to the control. Meanwhile, the epinephrine serum levels were significantly increased in the PTU-treated group by (371.74 ± 24.69) compared to the control (137.40 ± 13.90), as shown in Figure 3. Rats treated with vitamin B12 alone showed almost similar levels of epinephrine (133.21 ± 8.72) compared to the control group. However, rats treated with PTU and vitamin B12 showed a slight reduction in epinephrine level (126.52 ± 16.50) compared with the control. In Figure 4, vitamin B12 level was significantly decreased in rats treated with PTU (297.52 ± 12.51) compared with the control group (443.11 ± 22.54). A non-significant increase in vitamin B12 was observed when rats were treated with vitamin B12 alone by (483.92 ± 23.97) compared with the control. However, no changes in vitamin B12 levels were observed when rats were treated with PTU and vitamin B12 (409.98 ± 23.41) as compared to the control.

Fig. 1. Administration of vitamin B12 significantly decreased the level of serum TSH in hypothyroid-induced female rats. Hypothyroidism significantly increased serum TSH levels compared with the control group. (p < 0.05), group (N = 10). (Mean ±stander error).

Fig. 2. Vitamin B12 administration significantly increased serum cortisol levels in hypothyroid-induced female rats. Hypothyroidism significantly decreased serum cortisol level. (p < 0.05), group (N = 10). (Mean ±stander error).

Fig. 3. Vitamin B12 administration significantly decreased serum epinephrine levels in hypothyroid-induced female rats, whereas hypothyroidism significantly increased the serum epinephrine level. (p < 0.05), group (N = 10). (Mean ±stander error).

Effect of vitamin B12 administration on histomorphology

Hypothyroid-induced adrenal gland In the control group, Figure 5a and b shows a more compact structure of adrenal tissue with three clear zones: zona glomerulosa (ZG), zona fasciculate (ZF), zona reticularis (ZR), and medulla. The ZG formed a thin sub-capsular zone. The ZF cells were arranged in as cordlike structure of two cells thick separated by trabeculae with tiny capillaries in between the cords. The cells appeared larger than the cells at ZG and ZR because the cytoplasm was enriched with fatty vacuoles. This part of the cortex was less stained than other parts of the adrenal gland. The ZR cells were irregularly arranged in random clusters interspersed with sinusoids. The cells were also smaller than those of the zona fasciculate and were densely packed with less cytoplasm. The medulla region had more compact smaller cells with larger sinusoids.

Hypothyroidism causes obvious structural changes in the adrenal gland (Fig. 6a and 6b). The cortex appeared more rigid than the normal cortex (Fig. 5a). There was obvious disorganization of the zona fasciculate cells, with the cords seeming to overlap with each other. The cells were smaller and more irregular in shape and size with some pyknotic nucleus observed compared to the control. The cytoplasm was also much less with fewer fatty vacuoles seen, e.g., the group in Figure 6a is compared with the control group in Figure 5a. In the medulla region, cellular hyperplasia was observed, causing the area to become thickened, and dilatation and congestion of blood vessels showed areas of hemorrhages.

In contrast, the adrenal gland of hypothyroid rats treated with vitamin B12 (hypothyroid + B12) exhibited a notable reparative feature (Fig. 7). Improvements include enhanced capsule integrity, normalization of adrenal cells with clear visible, light-colored nuclei, and restoration of the cellular boundary and cytoplasm. The cell size and number of the cortex and medulla are nearly normal. The features observed in this group are depicted in the control group. The adrenal tissue of rats treated with vitamin B12 exhibited remarkable tissue similarity with the control group (Fig. 8).


Discussion

Vitamin B12 plays a significant role in promoting the function of the adrenal gland that was impaired by hypothyroid effects and restoring it to normal. Physiologically, a low thyroid level activates the hypothalamus–pituitary–thyroid axis through a negative feedback mechanism, resulting in an increase in TSH level. A lack of thyroid hormones causes a stressful physiological environment, leading to cortisol and epinephrine secretion via the hypothalamus–pituitary–adrenal gland (HPA) axis. Both these stress hormones work synergistically to maintain homeostasis. Changes in serum TSH levels are a strong indicator of hypothyroidism compared with T3 and T4 (Walter et al., 2012). The administration of PTU to the animal model indicated acute hypothyroidism and acute physiological stress. A previous study reported that PTU-induced hypothyroidism significantly reduced serum thyroid levels and increased serum TSH (Singh et al., 2020; Ananda et al., 2022), indicating impaired thyroid gland secretions (Walter et al., 2012). In this study, serum thyroid was not measured, but there were elevations in serum TSH and serum epinephrine while, serum cortisol was decreased (Figs. 1–3). One report surmised that endogenous corticosteroids may control TSH secretion (Samuels, 2000) via a negative feedback mechanism. Under normal stress conditions, epinephrine and cortisol work synergistically to sustain the energy production required to survive a stressful situation. This indicates that both serum epinephrine and cortisol levels should peak at the same time as reported by other studies (Seck-Gassama et al., 2000; Walter et al., 2012; Singh et al., 2021; Sinha, 2024. These reports stated that epinephrine and cortisol had a positive correlation. Among the reasons offered were decreased metabolic clearance of cortisol (Singh et al., 2021) and a compensatory mechanism by the HPA axis resulting from metabolic stress (Seck-Gassama et al., 2000; Singh et al., 2021; Sinha, 2024). We offer two rationales to our results, which are as follows: under acute hypothyroidism, TSH secretions are first induced following a surge in epinephrine levels, followed by cortisol. We also assumed that increased cortisol metabolism resulted in the formation of inactive cortisone (Nomura et al., 1996). This is based on a report that long-term hypothyroidism caused adrenal insufficiency and HPA axis abnormalities (Johnson et al., 2012). A proteomic study that examines pathway regulatory mechanisms may provide insights into the relationship between epinephrine, cortisol, and hypothyroidism. Accordingly, vitamin B12 has a significant role in promoting secretion of glucocorticoid insufficiency, which could be the cause of increased TSH caused by interference in thyroid hormone synthesis (Yasuda et al., 2004).

Fig. 4. Administration of vitamin B12 significantly increased serum vitamin B12 levels in hypothyroid-induced female rats, whereas hypothyroidism decreased serum vitamin B12. (p < 0.05), group (N = 10). (Mean ±stander error).

Vitamin B12 deficiency has been correlated with thyroid gland disorders, particularly hypothyroidism (Kacharava et al., 2023), (Benites-Zapata et al., 2023), (Aon et al., 2022), and (Aktaş, 2020). The function and metabolism of thyroid hormones depend on the presence of vitamin B12 (Shulhai et al., 2024), which is usually sourced from diet and nutrient absorption. Vitamin B12 is an important micronutrient for the synthesis of nucleic acids, which may interfere with thyroid hormone synthesis and glucocorticoid deficiency (Yasuda et al., 2004).

The lack of vitamin B12 in hypothyroid patients is largely due to conditions such as atrophic gastritis and pernicious anemia (Collins and Pawlak, 2016; Raju and Kumar, 2021).

The presence of antibodies to intrinsic factors has been identified in cases of hypothyroidism as well as gastrointestinal disorders where antibodies to gastric parietal cells have been found in people with hypothyroidism (Gupta et al., 2023). Two studies have implicated that in a few conditions, vitamin B12 malabsorption could be due to hypothyroidism rather than the other way around (Aon et al., 2022). Rats with thyroidectomy showed reduced absorption of oral vitamin B12, and the condition was reversed when the rats were supplemented with exogenous thyroid (Okuda and Chow, 1961). Our study confirmed that administration of vitamin B12 decreased serum TSH and epinephrine levels, whereas cortisol and vitamin B12 levels increased in PTU-treated rats concurrently administered with vitamin B12. Our interpretation of this result may be that the decrease in TSH levels can be attributed to the role of vitamin B12, which supports the manufacture of thyroid hormones, and the increase in T3 and T4 levels through a feedback mechanism.

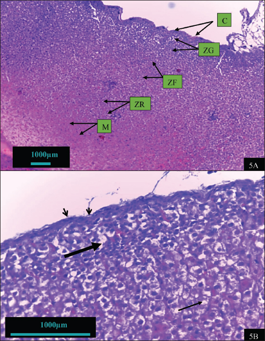
Fig. 5. Normal histomorphology of adrenal gland tissue in the control group showing clear structures, such as the capsule (C) with zona glomerulosa (ZG), zona fasciculate (ZF), zona reticularis (ZR), and adrenal medulla (AM) (Figure 5A:100X). Figure 5B (400X) clearly shows a normal capsule (arrowhead) the zona glomerulosa cells (thick arrow), and fasciculate with well-defined cells and clear nuclei. The zona fasciculate (thin arrow) is the area with a lighter stain and is arranged in cords filled with high lipid content.

Morphological changes in the adrenal glands following hypothyroidism effect were reported in several works; however, there is none on hypothyroidism and vitamin B12. Our results showed that PTU caused disorganization of the cord-like structure of zona fasciculate cells, as shown by the shrunken and irregular-sized cells with pyknotic nuclei. The same was observed and reported by other researchers studying the impact of hypothyroidism on adrenal tissue (Sarwar and Parveen, 2005; Harhaun, 2023). However, we did not observe the separation of the capsule from the gland, as reported in other studies (Dusyk and Golubovskiy, 2016; Kulbitska and Nebesna, 2022). This work showed that PTU-induced hypothyroidism caused damage to sinusoidal cells, causing the structure to appear dilated. The same effect was observed by (Strus et al., 2013 who induced hypothyroidism in rats treated with mercazolyl. In the hypothyroid group, the lack of fatty vacuoles in the cytoplasm may be the cause of the low serum cortisone levels obtained in this study. Cortical cell degeneration due to stress resulting from changes in hormonal balance may cause atrophy of the adrenal cortex, which was also reported in 1959 (McCarthy et al., 1959). This means that the adrenal cells may shrink in size as well as decrease in their number and productivity (Sarwar et al., 2004). Hypothyroidism may induce an inflammatory response in the adrenal gland, which may result in the infiltration of inflammatory cells (Kooistra et al., 1995: Betterle et al., 2004). We did not study the inflammatory response in adrenal tissue resulting from hypothyroidism. However, there is a report stating that thyroid hormone has a significant role in the immune system, including in innate immunity; therefore, any changes in the hormone concentration affect tissue inflammatory reactions (Jara et al., 2017). The benefits of vitamin B12 in reducing histopathological changes of the adrenal gland can be observed where the adverse effects of PTU were reversed with improved capsule integrity, restoration of cortical cells with their regular cord-like arrangement in all cortical zones and medulla in addition to reducing the congestion, hemorrhage, and fatty degeneration. Vitamin B12 also participates in increasing the activity of antioxidant enzymes, reducing DNA damage, reducing inflammatory cytokines, and eliminating free radicals (Tamura et al., 1999; Siddiqua et al., 2024), which leads to structural regrowth. The administration of vitamin B12 alone did not cause any adverse effects on the adrenal microstructure.

Fig. 6. Histosmorphological of adrenal gland tissue in hypothyroidism group showing degenerated cells near the capsule (curved arrow) with vacuolation (arrowhead) and vascular hypertrophy (thick arrow) of AM (6A) (100 X). Congestion of sinusoids (thick arrow) and necrosis cells (thin arrow) (6B) (400 X).

Fig. 7. Histomorphohogy of adrenal gland tissues in the hypothyroid rats supplemented with vitamin B12 group showing regular cord-like structures of zona fasciculate (thick arrow), reduced congestion (thin arrow), and slight vacuolations (arrowhead) (7A) (100X). The tissues also showed thick capsule (arrowhead), surrounding adipose tissue (thick arrow), and some nuclei are pale (thin arrow) (7B) (400X). The adrenal cortex showed normal sinusoid (thick arrow) and nucleus (thin arrow) as well as normal cellular architecture (7C); and medulla tissue nearby from normal, chromaffin cell with normal nucleus (thick arrow), as well as slight congestion vascular (arrowhead) (7D).

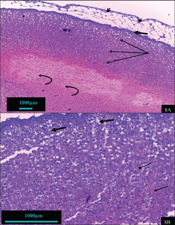
Fig. 8. Histomorphohogy of adrenal gland tissues in the vitamin B12 group showing normal capsule (thick arrow), surrounding adipose tissue (arrowhead), normal layers of adrenal cortex (thin arrow), and adrenal medulla (curved arrow) (8A) (100X). The zona glomerulosa cells showed active nuclei (thick arrow), and the cells of the fasciculate layer are arranged in the form of fascicule (thin arrow) (8B) (400X).


Conclusion

The results of this study illustrated that vitamin B12 plays a crucial role in treating the adrenal gland damage due to hypothyroidism by promoting the regeneration and repair of deteriorated tissues in both the adrenal cortex and medulla, through the activation of antioxidant enzymes. Moreover, vitamin supplementation improves the balance of hormones secreted by the adrenal gland, enhancing its vital functions and mitigating the adverse effects of thyroid dysfunction. This study recommended further studies to investigate the effect of vitamin B12 on the other glands, such as the thymus gland and gonads, as it may play a significant role in regulating their functions and maintaining hormonal balance. Using molecular techniques could provide deeper insights to understand the mechanism of vitamin B12’s effect on the adrenal glands, and vitamin B12 can be considered a promising therapeutic approach for adrenal stress. The limitations of the study include the determined time for experiment. In addition, due to limited financial support, advanced techniques could not be employed. If sufficient funding had been available, modern techniques could have been implemented to enhance the quality of the research.


Acknowledgment

The authors thank the University of Thi-Qar and the Education College for Pure Sciences.

Conflict of interest

All authors declare that they have no conflicts of interest.

Funding

Financial support is provided by self-sponsor.

Authors contributions

Each of the participants (May T. Ajeel) and (Hazar S. Saleh) contributed to the design of the study and data curation, and (Aisha M.Din), (Fatima Alashkham), and (Rozzana M.Said) contributed to analysis of results and also participated in writing the report and reviewing the literature. All authors have read and agreed to the published version of the manuscript.


References

Aktaş, H.Ş. 2020. Vitamin B12 and vitamin debye levels in patients with autoimmune hypothyroidism and their correlation with ant thyroid peroxidase antibodies. Med. Princ. Pract. 29(4), 364–370; doi:10.1159/000507358

AL-Saeed, M.H. and AL-Rufaei, I.A. 2018. Ameliorative effects of selenium on reproductive efficiency in adult male rats with thyroid disturbance. Bas. J. Vet. Res. 17(1), 21–35; doi:10.33762/bvetr.2018.143557

Ananda, B.B., Kumar, P.S., Gowda, V.S. and Prashanth, K. 2022. The effect of anti-thyroid drug treatment duration and predictive for intraoperative blood loss in patients with Graves’ disease. Int. J. Health Sci. 6(S4), 6981–6987; doi:10.53730/ijhs.v6nS4.10147

Aon, M., Taha, South, Mahfouz, K., Ibrahim, M.M. and Aoun, A.H. 2022. Vitamin B12 (Cobalamin) deficiency in overt and subclinical primary hypothyroidism. Clin. Med. Insights Endocrinal Diabetes 15, 11795514221086634; doi:10.1177/11795514221086634

Benites-Zapata, V.A., Ignacio-Cconchoy, F.L., Ulloque-Badaracco, J.R., Hernandez Bustamante, E.A., Alarcon-Braga, E.A., Al-kassab-Cordova, A. and Herrera-Añazco, P. 2023. Vitamin B12 levels in thyroid disorders: a systematic review and meta- analysis. Front Endocrinal (Lausanne) 14, 1070592; doi:10.3389/fendo.2023.1070592

Betterle, C., Lazzarotto, F. and Presotto, F. 2004. Autoimmune polyglandular syndrome type 2: what is the tip of an iceberg?. Clin. Exp. Immunol. 137(2), 225–233; doi:10.29254/2077-4214-2022-2-2-165-89-97

Collins, A.B. and Pawlak, R. 2016. Prevalence of vitamin B-12 deficiency among patients with thyroid dysfunction. Asia Pac. J. Clin. Nutr. 25(2), 221–226; doi:10.6133/apjcn.2016.25.2.01

Connell, J.M. and Davies, E. 2005. The new biological of aldosterone. J. Endocrinal. 186(1), 1–20; doi:10.1677/joe.1.06017

Dusyk, A.V. and Golubovskiy, I.A. 2016. Morphofunctional changes occur in the adrenal glands under chronic stress. Bull. Probl. Biol. Med. 188–192; doi:10.29254/2077-4214-2022-2-2-165-89-97

Green, R., Allen, L.H., Bjørke-Monsen, A.L., Brito, A., Guéant, J.L., Miller, J.W., Molloy, A.M., Nexo, E., Stabler, S., Toh, B.H., Ueland, P.M. and Yajnik, C. 2017. Vitamin B12 deficiency. Nat. Rev. Dis. Primers 3(1), 120; doi:10.1038/nrdp.2017.40

Gupta, R., Choudhary, S. and Chatterjee, T. 2023. A study on vitamin B12 levels in hypothyroid patients presenting to a tertiary care teaching hospital. Cureus 15(8), e45634; doi:10.7759/cureus.45634

Harhaun, O. 2023. Study of morphofunctional relationships between adrenal pathology and hypothyroidism and iodine deficiency. Arch. Clin. Med. 29(2), 10–16; doi:10.21802/acm.2023.2.5

Jara, E.L., Muñoz-Durango, N., Llanos, C., Fardella, C., González, P.A., Bueno, S.M., Kalergis, A.M. and Riedel, C.A. 2017. Modulating the function of the immune system by thyroid hormones and thyrotropin. Immunol. Lett. 184, 76–83; doi:10.29254/2077-4214-2022-2-2-165-89-97

Johnson, E.O., Calogero, A.E., Konstandi, M., Kamilaris, T.C., La Vignera, S. and Chrousos, G.P. 2012. Effects of short-and long-duration hypothyroidism on hypothalamic– pituitary–adrenal axis function in rats: in vitro and in situ studies. Endocrine 42, 684– 693; doi:10.1007/s12020-012-9714-z

Kacharava, T., Giorgadze, E., Janjgava, S., Lomtadze, N. and Taboridze, I. 2023. Correlation between vitamin B12 deficiency and autoimmune thyroid diseases. Endocr. Metab. Immune. Disord. Drug Targets 23(1), 86–94; doi:10.2174/1871530322666220627145635

Kooistra, H.S., Rijnberk, A. and van den Ingh, T.S. 1995. Polyglandular deficiency syndrome in a boxer dog: thyroid hormone and glucocorticoid deficiency. Vet. Q. 17(2), 59–63; doi:10.29254/2077-4214-2022-2-2-165-89-97

Kulbitska, V.V. and Nebesna, Z.M. 2022. Microscopic and morphometric changes of the adrenal gland in dynamics after experimental. Bull. Problems Biol. Med. 2(2), 89–97.

Mathew, A.R., Di Matteo, G., La Rosa, P., Barbati, South A., Mannina, L., Moreno, S. and Fidelio, M. 2024. Vitamin B12 deficiency and the nervous system: beyond metabolic decompensation—comparing biological models and gaining new insights molecular and cellular mechanisms. Int. J. Mol. Sci. 25(1), 590; doi:10.29254/2077-4214-2022-2-2-165-89-97

McCarthy, J.L, Corley, R.C. and Zarrow, M.X. 1959. Effects of goitrogens on adrenal gland of the rat. Am. J. Physiol. 197(3), 693–698; doi:10.29254/2077-4214-2022-2-2-165-89-97

Mohamed, F.E.Z., El-Taweel, H.M., Alattar, R.H., Khamis, T., Abdel-Aziz, A.A.F. and ElDawy, K. 2023. The metabolic impact of vitamin B12 in the context of metabolic syndrome. J. Adv. Vet. Res. 13(7), 1305–1312.

Nomura, S., Fujitaka, M., Jinno, K., Sakura, N. and Ueda, K. 1996. Clinical significance of the cortisone and cortisone/cortisol ratio in the evaluation of children with adrenal diseases. Clin. Chim. Acta. 256(1), 1–11; doi:10.1016/0009-8981(95)06107-2

Okuda, K. and Chow, B.F. 1961. The thyroid and absorption of vitamin B12 in rats. Endocrinology 68(4), 607–615; doi:10.1210/endo-68-4-607

Patyra, K., Löf, C., Jaeschke, H., Undeutsch, H., Zheng, H.S., Tyystjärvi, S., Pluawska, K., Doroszko, M., Chrusciel, M., Loo, B.M., Kurkijarvi, R., Zhang, F.P., Hunang, C.J., Ohlsson, C., Kero, A., Poutanen, M., Toppari, J., Paschke, R., Rahman, N., Huhtaniemi, I., Jaaskelainen, J. and Kero, J. 2022. Congenital hypothyroidism and hyperthyroidism alters adrenal gene expression, development, and function. Thyroid 32(4), 459–471; doi:10.1089/ thy.2021.0535

Pignatti, E. and Flück, C.E. 2021. Adrenal cortex development and related disorders leading to adrenal insufficiency. Mol. Cell. Endocrinol. 527, 111206; doi:10.1016/j.mce.2021.111206

Raju, P. and Kumar, S. 2021. Vitamin B12 deficiency incidence in patients with hypothyroidism. J. Evid. Based Med. Healthc. 8, 415–419; doi:10.18410/ jebmh/2021/85

Samuels, M.H. 2000. Effects of variations in physiological cortisol levels on thyrotropin secretion in subjects with adrenal insufficiency: a clinical research center study. J. Clin. Endocrinol. Metab. 85(4), 1388–1393; doi:10.1210/jcem.85.4.6440

Sarwar, G. and Parveen, S. 2005. Carbimazole- induced hypothyroidism causes the adrenal atrophy in 10 days’ prenatally treated albino rats. J. Coll. Physicians Surg. Pak. 15(7), 383–386; doi:10.29254/2077-4214-2022-2-2-165-89-97

Sarwar, Z.U., Ward, V.L, Mooney, D.P., Testa, S. and Taylor, G.A. 2004. Congenital adrenocortical adenoma: case report and review of literature. Pediatr. Radiol. 34, 991–994; doi:10.29254/2077-4214-2022-2-2-165-89-97

Seck-Gassama, North O., Mbodj, M., Akala, A., Cisse, F., Niang, M. and Ndoye, R. 2000. Serum cortisol level variations in thyroid diseases. Dakar Med. 45(1), 30–33; doi:10.1016/S02584559(00)80007-0

Shahid, M.B. and Cetera, B. 2023. Thyroid disease and thyroid surgery. Anaesth. Intensive Care Med. 24(10), 594–607; doi:10.1016/j.mpaic.2023.07.009

Shulhai, A.M., Rotondo, R., Petraroli, M., Patianna, V., Predieri, B., Iughetti, L. and Street, M.E. 2024. The role of nutrition in thyroid function. Nutrients 16(15), 2496; doi:10.3390/nu16152496

Siddiqua, T.J., Akhtar, E., Haq, M.A., Shahab-Ferdows, S., Hampel, D., Islam, S., Ahmed, T., Allen, L.H. and Raqib, R. 2024. Effects of vitamin B12 supplementation on oxidative stress markers and proinflammatory cytokines during pregnancy and postpartum among Bangladeshi mother– child pairs. BMC Nutr. 10(1), 3; doi:10.1186/s40795- 023-00785-y

Singh, N.K., Chung, S., Sveiven, M. and Hall, D.A. 2021. Cortisol detection in undiluted human serum using a sensitive electrochemical structure-switching aptamer over an antifouling nanocomposite layer. ACS Omega. 6(42), 27888–27897; doi:10.1021/acsomega.1c03756

Singh, S., Panda, V., Sudhamani, S. and Dande, P. 2020. Protective effect of a polyherbal bioactive fraction against propylthiouracil-induced thyroid toxicity in gatsby modulation of the hypothalamic– pituitary–thyroid and hypothalamic–pituitary–adrenal axes. Toxicol. Rep. (7), 730–742; doi:10.1016/j.toxrep.2020.05.004

Sinha, R. 2024. Stress and substance use disorders: risk, relapse, and treatment outcomes. J Clin. Invest. 134(16), e172883; doi:10.1172/JCI172883

Strus, K., Yashchenko, A., Smolkova, O. and Nakonechna, O. 2013. Influence of maternal experimental hypothyroidism on quantitative- qualitative indicator of rat progeny skin mast cells in age aspect according to histochemical investigation results and on the base of lectins GNA and PNA receptors cytotopography. Adv. Biosci. Biotechnol. 4(8), 840–845; doi:10.29254/2077-4214-2022-2-2-165-89-97

Sumaya, H. and Saleh, S.H. 2023. Potential modulation of pancreas gland activity in hyperprolactimic male Rats (Rattus norvegicus) by vitamin D3 treatment. J. Educ. Pure Sci. Univ. Thi-Qar. 13(3); doi:10.32792/jeps.v13i3.341

Tamura, J., Kubota, K., Murakami, H., Sawamura, M., Matsushima, T., Tamura, T. and Naruse, T. 1999. Immunomodulation by vitamin B12: augmentation of CD8+ T lymphocytes and natural killer (NK) cell activity in vitamin B12-deficient patients by methyl-B12 treatment. Clin. Exp. Immunol. 116(1), 28–32; doi:10.29254/2077-4214-2022-2-2-165-89-97

Tiwari, S., Pandey, S.K. and Mishra, A. 2022. Teratogenic effects of Propylthiouracil on Swiss albino mice fetuses–a gross study. Asian J. Med. Sci. 13(8), 75–79; doi:10.3126/ajms.v13i8.43947

Tohei, A. 2004. Studies on the functional relationships of thyroid, adrenal and gonadal hormones. J.

Reprod. Dev. 50(1), 9–20; doi:10.1262/jrd.50.94

van de Lagemaat, E.E., de Groot, L.C.P.G.M. and van den Heuvel, E.G.H.M. 2019. Vitamin B12 in relation to oxidative stress: a systematic review. Nutrients 11(2), 482; doi:10.3390/nu11020482

Walter, K.N., Corwin, E.J., Ulbrecht, J., Demers, L.M., Bennett, J.M., Whetzel, C.A. and Klein, L.C. 2012. Elevated thyroid-stimulating hormone levels are associated with elevated cortisol levels in healthy young men and women. Thyroid Res. 5, 1–6; doi:10.1186/1756-66145-13

Yasuda, S., Wada, S., Suzuki, M., Minagawa, A., Kitahama, S., Itaka, S. and Katayama, S. 2004. Abnormal thyroid hormone levels in adrenocorticotropic hormone (ACTH) deficiency: a report of three cases. J. Saitama Med. Univ. 31(2), 115–120; doi:10.24689/sms.31.2_115



How to Cite this Article
Pubmed Style

Ajeel MT, Saleh HS, Din AM, Alashkam FA, Said RM. Efficacy of vitamin B12 treatment on the adrenal gland of propylthiouracil-induced hypothyroid rats. Open Vet. J.. 2025; 15(6): 2395-2407. doi:10.5455/OVJ.2025.v15.i6.12


Web Style

Ajeel MT, Saleh HS, Din AM, Alashkam FA, Said RM. Efficacy of vitamin B12 treatment on the adrenal gland of propylthiouracil-induced hypothyroid rats. https://www.openveterinaryjournal.com/?mno=236741 [Access: January 26, 2026]. doi:10.5455/OVJ.2025.v15.i6.12


AMA (American Medical Association) Style

Ajeel MT, Saleh HS, Din AM, Alashkam FA, Said RM. Efficacy of vitamin B12 treatment on the adrenal gland of propylthiouracil-induced hypothyroid rats. Open Vet. J.. 2025; 15(6): 2395-2407. doi:10.5455/OVJ.2025.v15.i6.12



Vancouver/ICMJE Style

Ajeel MT, Saleh HS, Din AM, Alashkam FA, Said RM. Efficacy of vitamin B12 treatment on the adrenal gland of propylthiouracil-induced hypothyroid rats. Open Vet. J.. (2025), [cited January 26, 2026]; 15(6): 2395-2407. doi:10.5455/OVJ.2025.v15.i6.12



Harvard Style

Ajeel, M. T., Saleh, . H. S., Din, . A. M., Alashkam, . F. A. & Said, . R. M. (2025) Efficacy of vitamin B12 treatment on the adrenal gland of propylthiouracil-induced hypothyroid rats. Open Vet. J., 15 (6), 2395-2407. doi:10.5455/OVJ.2025.v15.i6.12



Turabian Style

Ajeel, May Taleb, Hazar Shaker Saleh, Aisha Mohd Din, Fatima Ali Alashkam, and Rozzana Mohd Said. 2025. Efficacy of vitamin B12 treatment on the adrenal gland of propylthiouracil-induced hypothyroid rats. Open Veterinary Journal, 15 (6), 2395-2407. doi:10.5455/OVJ.2025.v15.i6.12



Chicago Style

Ajeel, May Taleb, Hazar Shaker Saleh, Aisha Mohd Din, Fatima Ali Alashkam, and Rozzana Mohd Said. "Efficacy of vitamin B12 treatment on the adrenal gland of propylthiouracil-induced hypothyroid rats." Open Veterinary Journal 15 (2025), 2395-2407. doi:10.5455/OVJ.2025.v15.i6.12



MLA (The Modern Language Association) Style

Ajeel, May Taleb, Hazar Shaker Saleh, Aisha Mohd Din, Fatima Ali Alashkam, and Rozzana Mohd Said. "Efficacy of vitamin B12 treatment on the adrenal gland of propylthiouracil-induced hypothyroid rats." Open Veterinary Journal 15.6 (2025), 2395-2407. Print. doi:10.5455/OVJ.2025.v15.i6.12



APA (American Psychological Association) Style

Ajeel, M. T., Saleh, . H. S., Din, . A. M., Alashkam, . F. A. & Said, . R. M. (2025) Efficacy of vitamin B12 treatment on the adrenal gland of propylthiouracil-induced hypothyroid rats. Open Veterinary Journal, 15 (6), 2395-2407. doi:10.5455/OVJ.2025.v15.i6.12