E-ISSN 2218-6050 | ISSN 2226-4485
 

Case Report


Open Veterinary Journal, (2025), Vol. 15(10): 5391-5399

Case Report

10.5455/OVJ.2025.v15.i10.57

Nonsurgical resolution of renal cortical abscesses in a dog with multidrug-resistant Klebsiella-induced urosepsis

Diego Ribeiro1*, Reiner Silveira de Moraes1, Josiane Aparecida Martiniano de Pádua², Luiz Guilherme Dercore Benevenuto4, Alda Esteves Junqueira Bernardes³, Laura Soares Magalhães1, Maria Luiza Maciel de Mendonça1, Júlio César Nascimento de Cerqueira Júnior1, Teresa Alessandra de Lima Núñez1, Maira Souza Oliveira Barreto3, Rodrigo Bernardes Nogueira3 and Priscylla Tatiana Chalfun Guimarães Okamoto1

1Department of Veterinary Clinics, School of Veterinary Medicine and Animal Science, São Paulo State University (UNESP), Botucatu, Brazil

2Department of Preventive Veterinary Medicine, School of Veterinary Medicine, Federal University of Minas Gerais, Belo Horizonte, Brazil

3Department of Veterinary Clinics, Faculty of Veterinary Medicine and Animal Science, Federal University of Lavras, Lavras, Brazil

4Department of Veterinary Surgery and Anesthesiology, School of Veterinary Medicine and Animal Science Sao Paulo State University, Botucatu, Brazil

*Corresponding Author: Diego Ribeiro. Department of Veterinary Clinics, School of Veterinary Medicine and Animal Science, São Paulo State University (UNESP), Botucatu, Brazil. Email: diego.ribeiro [at] unesp.br

Submitted: 15/06/2025 Revised: 25/08/2025 Accepted: 09/09/2025 Published: 31/10/2025


Abstract

Background: Urinary tract infections caused by Klebsiella can significantly affect the renal parenchyma, with urosepsis being a potential outcome. Renal abscesses may also occur, and surgical interventions may often be required. This article reports a case of urosepsis and renal abscess caused by multidrug-resistant Klebsiella, describing a successful outcome of renal abscess resolution using antimicrobial therapy alone.

Case Description: A 3-year-old female Shih-Tzu was referred to the intensive care unit of a teaching hospital in Brazil. The patient exhibited anorexia, vomiting, pale mucous membranes, jaundice, halitosis, hyperthermia, hypoglycemia, and hypotension. Stabilization included the administration of fluid resuscitation, vasopressor, antipyretic, and glucose. Laboratory findings included anemia, neutrophilic leukocytosis, thrombocytopenia, hyperfibrinogenemia, and elevated serum concentrations of creatinine, urea, phosphorus, alanine aminotransferase, alkaline phosphatase, and total and fractionated bilirubin. Abdominal ultrasonography revealed images compatible with chronic kidney disease (CKD) and renal abscesses. Empirical antibiotic therapy was initiated with enrofloxacin (5 mg/kg IV q 24 hours) and ceftriaxone (30 mg/kg IV q 12 hours), followed by a switch to meropenem (8.5 mg/kg SC q 12 hours for 10 days) based on positive urine culture results for Klebsiella spp. and susceptibility testing indicating sensitivity exclusively to carbapenems. The patient underwent peritoneal dialysis as renal replacement therapy. The treatment successfully resolved the uremic crisis, induced renal abscess regression, and reversed urosepsis.

Conclusion: Conservative clinical management with antibiotic therapy proved effective in resolving urosepsis and abscesses located in the renal cortex, measuring approximately 4–5 cm, without the need for percutaneous drainage or surgical intervention. This finding highlights the need for further research into the efficacy of different therapeutic strategies based on the anatomical location of renal abscesses.

Keywords: Meropenem, multidrug-resistant bacteria, renal abscess, sepsis, urinary tract infection.


Introduction

Multidrug-resistant bacterial infections present a significant challenge to both animal and human health as potential disruptors of the renal parenchyma (Li et al., 2022; Smoglica et al., 2022). Enterobacteriaceae is of particular concern globally because of its capacity to harbor plasmid-encoded enzymes that inactivate a broad range of antibiotics (Donati et al., 2014; Pomba et al., 2017). In healthcare settings, reduced antimicrobial efficacy contributes to increased healthcare costs, prolonged hospitalization, and increased morbidity and mortality rates (Simmering et al., 2017; Kennedy et al., 2019).

Klebsiella is a genus of gram-negative bacteria commonly found as commensals in the gastrointestinal tract of humans and animals. However, the innate ability of these microorganisms to acquire resistance genes, coupled with the inappropriate use of antibiotics, facilitates the spread of resistant strains (Araújo et al., 2023), a concerning factor given the significant role of this genus in nosocomial infections (Tandogdu et al., 2013).

In this context, urinary tract infections (UTIs) caused by Klebsiella are particularly notable (Yu et al., 2020; Darwich et al., 2021). Although UTIs are typically resolved with outpatient antibiotic therapy, the increase in AMR has transformed these infections into potential precursors of urosepsis, an emerging cause of septicemia (Flaherty et al., 2014; Motzkus and Luckmann,, 2017). Both bacterial colonization of the urinary tract and septic conditions can trigger acute kidney injury or exacerbate preexisting CKD (Prabhu et al., 2021), negatively impacting prognoses.

In this context, renal abscesses are a possible outcome. Management generally involves the use of antimicrobials in combination with surgical interventions, such as unilateral nephrectomy, partial nephrectomy, or surgical and percutaneous drainage (Hess and Ilan, 2003; Kitshoff et al., 2011; Hwang et al., 2020; Petchell et al., 2021; Johnson et al., 2024). However, these methods do not preserve renal integrity and necessitate anesthetic procedures (Johnson et al., 2024). Notably, Dalla Palma et al. (1999) and Lee et al. (2010) reported the resolution of renal and perirenal abscesses up to 5 cm in diameter using antimicrobial therapy alone in humans. Reports of successful outcomes with this conservative medical approach are scarce in veterinary medicine.

Therefore, given the relevance of Klebsiella in urinary tract infections, understanding the clinical manifestations associated with urosepsis caused by this bacterium, as well as the available therapeutic strategies, is essential to guide more accurate diagnostic and treatment decisions, especially in the presence of renal abscesses.

This study aimed to report a clinical case of urosepsis and renal abscesses in a dog infected with multidrug-resistant Klebsiella, describing a successful outcome of renal abscess resolution using antimicrobial therapy alone.


Case Description

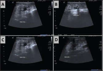
A 3-year-old spayed female Shih-Tzu weighing 3.8 kg was presented to the Veterinary Hospital of the UFLA. The owner reported anorexia and vomiting for the past 2 days, along with polyuria and polydipsia. Physical examination revealed pale mucous membranes, jaundice, halitosis, heart rate of 100 beats per minute (bpm), respiratory rate of 55 respirations per minute (rpm), hyperthermia (39.6°C), and hypotension (80 mmHg). SBP was measured using indirect Doppler sphygmomanometry. The SBP value was determined by averaging five consecutive measurements. The Accu-Chek® device was used to detect hypoglycemia (45 mg/dl). The patient was referred to the intensive care unit, where clinical stabilization was initiated. Biological samples were collected for complete blood count, venous blood gas analysis, and serum biochemistry analyses [alanine aminotransferase (ALT), aspartate aminotransferase, alkaline phosphatase (ALP), gamma-glutamyl transferase, total and fractionated bilirubin, total protein, albumin, globulin, creatinine, urea, phosphorus, chloride, potassium, sodium, and calcium]. Urinalysis, urine culture, blood culture, and antibiotic susceptibility testing were additional diagnostic methods. Urine was obtained via cystocentesis. Abdominal ultrasonography was performed after initial stabilization. Hyperechogenic renal cortex was noted, accompanied by a loss of corticomedullary differentiation and definition in both kidneys. Hypoechoic nodular structures lacking vascularization on Doppler mapping were observed in the left kidney, presumed to be renal abscesses (Fig. 1).

Fig. 1. Ultrasound images of the right and left kidneys on the day of the patient’s admission to the intensive care unit (ICU). (A) Right kidney showing a hyperechoic cortex with loss of corticomedullary distinction and definition. (B, C, D, E and F) Left kidney also displayed a hyperechoic córtex with loss of corticomedullary distinction and definition. Four hypoechoic, nonvascularized nodular structures, the largest measuring 1.04 cm × 0.65 cm, were identified in the cortical region via Doppler mapping. These findings are consistente with the findings of renal abscesses.

The complete blood count revealed anemia, neutrophilic leukocytosis, lymphopenia, thrombocytopenia, and hyperfibrinogenemia (Table 1). Blood gas analysis revealed no abnormalities. Serum biochemistry revealed elevated levels of creatinine, urea, phosphorus, ALT, ALP, total bilirubin, direct bilirubin, and indirect bilirubin (Table 2). Urinalysis revealed proteinuria, a specific gravity of 1.012, and leukocyte and epithelial casts. For chemical parameters, urine urinalysis was performed using a test strip, while urine-specific gravity was measured by spectrophotometry.

Table 1. Hematological values of a canine patient during the Klebsiella infection period.

Table 2. Serum biochemistry values of a canine patient during the Klebsiella infection period.

For initial stabilization, the patient was managed hemodynamically with two fluid challenges of 10 ml/kg lactated Ringer’s solution infused over 10 minutes each. These boluses fail to achieve an adequate pressor response. Subsequently, norepinephrine infusion (0.3 mcg/kg/minute) was initiated, which successfully normalized the systolic arterial pressure (92 mmHg). After 2 hours, the vasopressor infusion was gradually tapered and discontinued. Hypoglycemia (45 mg/dl) was corrected with a bolus of 1 ml/kg of 50% dextrose, followed by continuous infusion of 5% glucose solution.

The patient was diagnosed with urosepsis based on clinical and laboratory findings. Empirical antibiotic therapy included enrofloxacin (5 mg/kg IV q 24 hours) and ceftriaxone (30 mg/kg IV q 12 hours). Supportive treatments for hepatopathy include S-adenosylmethionine (20 mg/kg PO q 24 hours on an empty stomach) and silymarin (8 mg/kg PO q 8 hours).

Antimicrobial de-escalation was performed following the urine culture results, which identified Klebsiella spp. as the causative agent. Susceptibility testing revealed a multidrug resistance profile, with sensitivity to only imipenem or meropenem (Table 3). Consequently, meropenem was administered at 8.5 mg/kg SC q 12 hours for 10 days. Antibiotic therapy was conducted in accordance with the guidelines of the International Society for Companion Animal Infectious Diseases (Weese et al., 2019). No bacterial growth was observed in the blood cultures.

Table 3. Antibiogram results of a canine patient with Klebsiella infection.

For the initial management of the uremic condition, a conservative clinical approach was adopted, which included aluminum hydroxide (30 mg/kg PO q 8 hours post-meal), cyproheptadine (Apevitin® 0.2 mg/kg PO q 12 hours), sucralfate (Sucrafilm® 5 ml PO q 8 hours), maropitant citrate (Cerenia® 1 mg/kg SC q 24 hours), ondansetron (Emedron® 1 mg/kg IV q 8 hours), B vitamins (Hyplex® 1 ml IV q 12 hours), telmisartan (Semintra® 1 mg/kg PO q 24 hours), recombinant human erythropoietin (Hemax Eritron® 100 IU/kg SC three times weekly), iron (Ferropurum® 100 mg IM every 21 days), and dexamethasone (Dexaflan® 0.5 mg/kg SC q 24 hours for 3 days) to control systemic inflammation indicated by urosepsis and the previously described empirical antimicrobial therapy. Subsequently, peritoneal dialysis was employed as renal replacement therapy based on the criteria set forth by the International Renal Interest Society (Cowgill, 2016). An esophageal feeding tube was also inserted to provide nutritional support (metabolizable energy requirement=95–130 kcal x BW0.75) using Recovery (Royal Canin®). Two blood transfusions were required because of dyspnea associated with low hematocrit, hemoglobin, and red blood cell counts (Table 1). The blood volumes administered on days D2 and D5 were 55.9 and 85.5 ml, respectively, resulting in clinical improvement of dyspnea after the transfusions.

With the administration of meropenem according to the antibiotic susceptibility profile, normalization of the leukogram was observed (Table 1). Renal abscesses, visualized via abdominal ultrasonography (Fig. 2), regressed, leading to urosepsis control. The uremic crisis was resolved. On the 14th day of hospitalization, the patient was discharged for continued treatment at home for the hepatopathy that developed during the infection. The clinical management of CKD was maintained.

Fig. 2. Ultrasound images of the right and left kidneys following treatment with meropenem (8.5 mg/kg SC twice daily for 10 days) in a canine patient with Klebsiella infection. (A–D) Both kidneys show a loss of corticomedullary distinction and definition. (A–C) In the left kidney, there was noticeable remission of the hypoechoic nodular structures, which were previously identified as consistent with renal abscesses.


Discussion

This case report describes the development of urosepsis and renal abscesses caused by multidrug-resistant Klebsiella infection in a dog and highlights the importance of urine culture and antimicrobial susceptibility testing in guiding the selection of the most appropriate antibiotic for effective infection control. The therapeutic approach used for purulent renal collections demonstrates that antibiotic therapy alone, rather than percutaneous drainage and/or surgical methods, can be effective in resolving renal cortical abscesses measuring approximately 4–5 cm in dogs. This approach avoided the use of invasive therapeutic methods that could contribute to further renal parenchymal injury. Moreover, the regression of the lesions, confirmed by ultrasonographic follow-up, underscores the essential role of imaging in monitoring the response to conservative therapy without percutaneous drainage and in excluding differential diagnoses such as neoplasia.

Klebsiella is a ubiquitous pathogen found in the environment, intestinal microbiota, skin, and mouth of both animals and humans. Some of its species, such as Klebsiella pneumoniae, are frequently associated with nosocomial infections (Yang et al., 2019). Ribeiro et al. (2022) reported that over 50% of the dogs and cats examined in their study presented with Klebsiella-associated cystitis, pyelonephritis, and urethritis, highlighting the high pathogenic potential of this bacterium in the urinary tract. Our study reinforces this evidence, demonstrating the potential for renal abscess formation in dogs infected with Klebsiella. Similarly, Chang et al. (2000) described renal or perirenal abscesses, bacteremia, and metastatic septic infections caused by K. pneumoniae in humans in Asia, and presented a clinical diagnosis and progression similar to the urosepsis and renal abscesses observed in animals in this report. This highlights the concern of emerging infections caused by resistant uropathogens in the One Health context (Araújo et al., 2023).

The antibiogram identified the antibiotic to which the bacterium colonizing the patient’s urinary tract was susceptible. Klebsiella showed no susceptibility to beta-lactams, aminoglycosides, or fluoroquinolones. The resistance pattern observed is similar to that described in Klebsiella isolates from Thailand (Amphaiphan et al., 2021), Spain (Darwich et al., 2021), the United States (Yudhanto et al., 2022), and Italy (Smoglica et al., 2022). The similarity of antimicrobial resistance patterns of Klebsiella in different countries underscores the importance of documenting complications, such as urosepsis and renal abscesses, as well as the therapeutic strategy used in this case report. The resistance pattern identified in different studies suggested that the multiresistance of this bacterium is not limited to this case, which may contribute to the recurrence of clinical scenarios similar to the one reported.

The hypoechoic structures identified in the left kidney did not require percutaneous drainage, suggesting the possibility of renal abscess remission with pharmacological intervention alone (Dalla Palma et al., 1999; Lee et al., 2010). Previous reports failed to successfully treat dogs using antibiotic therapy alone (Cola et al., 2020; Rohini et al., 2021; Véran et al., 2021). The decision to opt for pharmacological treatment over percutaneous drainage or surgical methods was based on previous studies by Dalla Palma et al. (1999) and Lee et al. (2010), which reported involution of renal and perirenal abscesses up to 5 cm in diameter with antimicrobial therapy alone in humans. In addition, the patient already exhibited renal parenchymal function instability, which contributed to the selection of therapeutic alternatives that would not worsen the existing renal injury. The remission of these structures on ultrasonography after antibiotic treatment supports the hypothesis that these purulent collections were present in the renal parenchyma, ruling out neoplasms as a differential diagnosis.

The authors believe that differences in antibiotic perfusion across distinct renal regions may explain the varying therapeutic outcomes reported in the literature. Cola et al. (2020); Rohini et al. (2021) and Véran et al. (2021) were unsuccessful in treating subcapsular abscesses using antimicrobial therapy alone. In contrast, Johnson et al. (2024) reported the resolution of a corticomedullary abscess using enrofloxacin-based antibiotic therapy combined with percutaneous drainage. Contributing to this body of evidence, the present article describes a successful case of cortical abscess resolution achieved solely through antibiotic therapy, highlighting the relevance of this approach and encouraging further investigation into the efficacy of therapeutic interventions based on the anatomical location of renal abscesses.

Finally, initial hemodynamic management in the intensive care unit was crucial for reversing the shock observed in the animal. When hypotension is unresponsive to fluid therapy, volume replacement followed by vasopressor administration, in accordance with the Surviving Sepsis Campaign Guidelines (Evans et al., 2021), was crucial for stabilizing the patient. This hypotensive state, concomitant with hypoglycemia, hyperthermia, neutrophilic leukocytosis, and the presence of a UTI, confirmed the sepsis presented by the patient (Evans et al., 2021), and the need for a vasopressor established the diagnosis of septic shock (Evans et al., 2021). These hemodynamic alterations are explained by an unregulated inflammatory response to infections, leading to organ dysfunction (Vincent and De Backer, 2013), which was due to a UTI caused by Klebsiella in this clinical case.

The multidrug resistance exhibited by Klebsiella represents a significant public health concern. The use of carbapenem-class antibiotics should be avoided and reserved for cases in which there is no susceptibility to other antimicrobials. In the presence of MDR bacteria, strict hospital disinfection measures are essential. The molecular identification of the pathogen, along with comparison with isolates from potential environmental or clinical sources, is desirable to interrupt the transmission chain. Methods, such as polymerase chain reaction (Remya et al., 2019) and next-generation sequencing (Wang et al., 2022), can be employed for this purpose. Adopting these measures helps mitigate the spread of bacteria and their resistance genes, prevent nosocomial outbreaks, reduce healthcare costs, and improve patient prognosis (Altayb et al., 2023; Djordjevic et al., 2024). However, despite performing hospital disinfection, financial constraints prevented the application of these molecular techniques in this case report. The limitation of this case report is the absence of molecular techniques to detect the pathogen species involved in this infection.

This case report describes the development of urosepsis and renal abscesses caused by multidrug-resistant Klebsiella, emphasizing the importance of urine culture and antimicrobial susceptibility testing in guiding targeted antibiotic selection for effective infection control. Conservative clinical management using antibiotic therapy instead of percutaneous drainage proved effective in resolving abscesses located in the renal cortex measuring approximately 4–5 cm. The regression of the lesions, confirmed by ultrasonographic follow-up, highlights the relevance of imaging in both monitoring therapeutic response and excluding differential diagnoses such as neoplasia. This finding highlights the need for further research into the efficacy of different therapeutic strategies based on the anatomical location of renal abscesses.

Conflict of interest

The authors have no relevant financial or non-financial interests to disclose.

Funding

The authors declare that no funds, grants, or other support were received during the preparation of this manuscript.

Authors’ contributions

DR, RSM, and TALN were responsible for case management. LSM, MLMM, and JAMP contributed to laboratory analyses and case management. AEJB performed the imaging examinations and contributed to the case management. JCNCJ, MSOB, and LGDB assisted in the case management in the intensive care unit. The RBN and PTCGO supervised the clinical management. DR wrote the first draft of the manuscript, with contributions and revisions from all authors. DR, MSOB, and LGDB translated the article. All authors have read and approved the final version of the manuscript.

Data availability

All data supporting this study’s findings are available within the manuscript.

Ethical approval

This case report is part of a study that has been approved by the Committee for Ethics in Animal Use (CEUA) of the Federal University of Lavras (UFLA), under protocol number 4667090823 – 2023.


References

Altayb, H.N., Hosawi, S., Baothman, O., Kazmi, I., Chaieb, K., Abu Zeid, I.M., Elbadawi, H.S., Lopes, B.S. and Moglad, E. 2023. Molecular insights into novel environmental strains of Klebsiella quasipneumoniae harboring different antimicrobial-resistance genes. Front. Public Health 10, 1068888; doi:10.3389/fpubh.2022.1068888

Amphaiphan, C., Yano, T., Som-in, M., Kungwong, P., Wongsawan, K., Pusoonthornthum, R. and Tangtrongsup, S. 2021. Antimicrobial drug resistance profile of isolated bacteria in dogs and cats with urologic problems at Chiang Mai University Veterinary Teaching Hospital, Thailand (2012–2016). Zoonoses Public Health 68(5), 452–463; doi:10.1111/zph.12832

Araújo, D., Castro, J., Matos, F., Oliveira, R., Ramos, C., Almeida, C. and Silva, S. 2023. Exploring the prevalence and antibiotic resistance profile of Klebsiella pneumoniae and Klebsiella oxytoca isolated from clinically ill companion animals from North of Portugal. Res. Vet. Sci. 159, 183–188; doi:10.1016/j.rvsc.2023.04.009

Chang, S.W., Yen, D.H.T., Fung, C.P., Liu, C.Y., Chen, K.K., Tiu, C.M., Wang, L.M. and Lee, C.H. 2000. Klebsiella pneumoniae renal abscess. Zhonghua Yi Xue Za Zhi 63(10), 721–728.

Cola, V., Foglia, A., Pisoni, L., Dondi, F., Avallone, G., Gruarin, M., Zanardi, S., Rinnovati, R. and Del Magno, S. 2020. Kidney-sparing surgery for renal subcapsular abscess caused by Staphylococcus pseudintermedius in a dog. J. Am. Anim. Hosp. Assoc. 56, 242–247; doi:10.5326/JAAHA-MS-7034

Cowgill, L. 2016. IRIS: grading of acute kidney injury modified. Available via http://www.iris-kidney.com/pdf/4_ldc-revised-grading-of-acute-kidney-injury.pdf (Accessed 9 Apr 2025).

Dalla Palma, L., Pozzi-Mucelli, F. and Enet, V. 1999. Medical treatment of renal and perirenal abscesses: cT evaluation. Clin. Radiol. 54(12), 792–797; doi:10.1016/S0009-9260(99)90680-3

Darwich, L., Seminati, C., Burballa, A., Nieto, A., Durán, I., Tarradas, N. and Molina-López, R.A. 2021. Antimicrobial susceptibility of bacterial isolates from urinary tract infections in companion animals in Spain. Vet. Rec. 188, e60; doi:10.1002/vetr.60

Djordjevic, S.P., Jarocki, V.M., Seemann, T., Cummins, M.L., Watt, A.E., Drigo, B., Wyrsch, E.R., Reid, C.J., Donner, E. and Howden, B.P. 2024. Genomic surveillance for antimicrobial resistance - a One Health perspective. Nat. Rev. Genet. 25(2), 142–157; doi:10.1038/s41576-023-00649-y

Donati, V., Feltrin, F., Hendriksen, R.S., Svendsen, C.A., Cordaro, G., García-Fernández, A., Lorenzetti, S., Lorenzetti, R., Battisti, A. and Franco, A. 2014. Extended-spectrum-beta-lactamases, AmpC beta-lactamases and plasmid mediated quinolone resistance in Klebsiella spp. from companion animals in Italy. PLos One 9(3), e90564; doi:10.1371/journal.pone.0090564

Evans, L., Rhodes, A., Alhazzani, W., Antonelli, M., Coopersmith, C.M., French, C., Machado, F.R., Mcintyre, L., Ostermann, M., Prescott, H.C., Schorr, C., Simpson, S., Wiersinga, W.J., Alshamsi, F., Angus, D.C., Arabi, Y., Azevedo, L., Beale, R., Beilman, G., Belley-Cote, E., Burry, L., Cecconi, M., Centofanti, J., Coz Yataco, A., De Waele, J., Dellinger, R.P., Doi, K., Du, B., Estenssoro, E., Ferrer, R., Gomersall, C., Hodgson, C., Møller, M.H., Iwashyna, T., Jacob, S., Kleinpell, R., Klompas, M., Koh, Y., Kumar, A., Kwizera, A., Lobo, S., Masur, H., Mcgloughlin, S., Mehta, S., Mehta, Y., Mer, M., Nunnally, M., Oczkowski, S., Osborn, T., Papathanassoglou, E., Perner, A., Puskarich, M., Roberts, J., Schweickert, W., Seckel, M., Sevransky, J., Sprung, C.L., Welte, T., Zimmerman, J. and Levy, M. 2021. Surviving sepsis campaign: international guidelines for management of sepsis and septic shock 2021. Intensive Care Med. 47(11), 1181–1247; doi:10.1007/s00134-021-06506-y

Flaherty, S.K., Weber, R.L., Chase, M., Dugas, A.F., Graver, A.M., Salciccioli, J.D. and Donnino, M.W. 2014. Septic shock and adequacy of early empiric antibiotics in the emergency department. J. Emerg. Med. 47(5), 601–607; doi:10.1016/j.jemermed.2014.06.037

Hess, R.S. and Ilan, I. 2003. Renal abscess in a dog with transient diabetes mellitus. J. Small. Anim. Pract. 44, 13–16; doi:10.1111/j.1748-5827.2003.tb00097.x

Hwang, T.S., An, S., Choi, M., Song, J.H., Jung, D.I. and Lee, H.C. 2020. Renal subcapsular abscess associated with pyometra in a dog. J. Vet. Clin. 37, 360–362; doi:10.17555/jvc.2020.12.37.6.360

Johnson, C., Lapsley, J., Piegols, H., Byron, J., Green, E. and Selmic, L.E. 2024. Diagnosis and successful medical management of a renal corticomedullary abscess in a dog. Can. Vet. J. 65(9), 900–905.

Kaneko, J.J., Harvey, J.W., and Bruss, M.L. 1997. Clinical biochemistry of domestic animals, 5th ed. San Diego, CA: Academic Press; doi:10.1016/B978-0-12-396305-5.X5000-3.

Kennedy, C.M., Oakleaf, J.R., Theobald, D.M., Baruch-Mordo, S. and Kiesecker, J. 2019. Managing the middle: a shift in conservation priorities based on the global human modification gradient. Glob. Change Biol. 25(3), 811–826; doi:10.1111/gcb.14549

Kitshoff, A.M., McClure, V., Lim, C.K. and Kirberger, R.M. 2011. Bilateral multiple cystic kidney disease and renal cortical abscess in a Boerboel. J. S. Afr. Vet. Assoc. 82(2), 120–124; doi:10.4102/jsava.v82i2.45

Lee, S.H., Jung, H.J., Mah, S.Y. and Chung, B.H. 2010. Renal abscesses measuring 5 cm or less: outcome of medical treatment without therapeutic drainage. Yonsei Med. J. 51(4), 569–573; doi:10.3349/ymj.2010.51.4.569

Li, L., Li, Y., Yang, J., Xie, X. and Chen, H. 2022. The immune responses to different uropathogens call individual interventions for bladder infection. Front. Immunol. 13, 953354; doi:10.3389/fimmu.2022.953354

Meyer, D. and Harvey, J.W. 2004. Veterinary laboratory medicine: interpretation and diagnosis, 3rd ed. St. Louis, MO: Saunders.

Motzkus, C.A. and Luckmann, R. 2017. Does infection site matter? A systematic review of infection site mortality in sepsis. J. Intensive Care Med. 32(8), 473–479; doi:10.1177/0885066615627778

Petchell, W.H.R., Noble, P.J.M., Burrow, R., Humphreys, W.J.E. and Bautista Díaz-delgado, O. 2021. Hafnia alvei: the unreported pathogen responsible for a sub-capsular renal abscess in a 1-year-old, presumed immunocompetent crossbreed dog with no co-morbidities. Vet. Rec. Case Rep. 9, 55; doi:10.1002/vrc2.55

Pomba, C., Rantala, M., Greko, C., Baptiste, K.E., Catry, B., Van Duijkeren, E., Mateus, A., Moreno, M.A., Pyörälä, S., Ružauskas, M., Sanders, P., Teale, C., Threlfall, E.J., Kunsagi, Z., Torren-Edo, J., Jukes, H. and Törneke, K. 2017. Public health risk of antimicrobial resistance transfer from companion animals. J. Antimicrob. Chemother. 72(4), 957–968; doi:10.1093/jac/dkw481

Prabhu, R.A., Shenoy, S.V., Nagaraju, S.P., Rangaswamy, D., Rao, I.R., Bhojaraja, M.V., Nayak M, D., Koulmane Laxminarayana, S.L., Saraf, K. and Ramaswamy, A. 2021. Acute kidney injury and progressive diabetic kidney disease: an epidemiological perspective. Int. J. Nephrol. Renovasc. Dis. 14, 23–31; doi:10.2147/IJNRD.S291319

Remya, P.A., Shanthi, M. and Sekar, U. 2019. Characterisation of virulence genes associated with pathogenicity in Klebsiella pneumoniae. Indian J. Med. Microbiol. 37(2), 210–218.

Ribeiro, M.G., De Morais, A.B.C., Alves, A.C., Bolaños, C.A.D., De Paula, C.L., Portilho, F.V.R., De Nardi Júnior, G., Lara, G.H.B., De Souza Araújo Martins, L., Moraes, L.S., Risseti, R.M., Guerra, S.T., Bello, T.S., Siqueira, A.K., Bertolini, A.B., Rodrigues, C.A., Paschoal, N.R., De Almeida, B.O., Listoni, F.J.P., Sánchez, L.F.G. and Paes, A.C. 2022. Klebsiella-induced infections in domestic species: a case-series study in 697 animals (1997–2019). Braz. J. Microbiol. 53(1), 455–464; doi:10.1007/s42770-021-00667-0

Rohini, B.G., George, A., Pillai, U.N., Unny, M. and Ambily, R. 2021. Unilateral renal subcapsular abscess associated with Escherichia coli infection in a dog. Indian J. Vet. Med. 41, 69–72.

Smoglica, C., Evangelisti, G., Fani, C., Marsilio, F., Trotta, M., Messina, F. and Di Francesco, C.E. 2022. Antimicrobial resistance profile of bacterial isolates from urinary tract infections in companion animals in Central Italy. Antibiotics 11, 1363; doi:10.3390/antibiotics11101363

Stockham, S.L. and Scott, M.A. 2008. Proteins. 2nd ed. In: Eds., Stockham, S.L. and Scott, M.A. Fundamentals of veterinary clinical pathology, Ames, IA: Blackwell Publishing; pp. 370–405.

Simmering, J.E., Tang, F., Cavanaugh, J.E., Polgreen, L.A. and Polgreen, P.M. 2017. The increase in hospitalizations for urinary tract infections and the associated costs in the United States, 1998–2011. Open Forum Infect. Dis. 4(1), ofw281; doi: 10.1093/ofid/ofw281

Tandogdu, Z., Cek, M., Wagenlehner, F., Naber, K., Tenke, P., Van Ostrum, E. and Bjerklund Johansen, T. 2013. Resistance patterns of nosocomial urinary tract infections in urology departments: 8-year results of the global prevalence of infections in urology study. World J. Urol. 32(3), 791–801; doi:10.1007/s00345-013-1154-8

Véran, E., Gory, G., Guillaumot, P. and Gallay-Lepoutre, J. 2021. Renal subcapsular abscess secondary to a migrating grass awn in a dog. J. Small Anim. Pract. 62, 609; doi:10.1111/jsap.13280

Vincent, J.L. and De Backer, D. 2013. Circulatory shock. N. Engl. J. Med. 369(18), 1726–1734; doi:10.1056/nejmra1208943

Wang, C., Yan, D., Huang, J., Yang, N., Shi, J., Pan, S., Lin, G., Liu, Y., Zhang, Y., Bian, X., Song, Q. and Qian, G. 2022. The clinical application of metagenomic next-generation sequencing in infectious diseases at a tertiary hospital in China. Front. Cell. Infect. Microbiol. 19, 957073; doi:10.3389/fcimb.2022.957073

Weese, J.S., Blondeau, J., Boothe, D., Guardabassi, L.G., Gumley, N., Papich, M., Jessen, L.R., Lappin, M., Rankin, S., Westropp, J.L. and Sykes, J. 2019. International Society for Companion Animal Infectious Diseases (ISCAID) guidelines for the diagnosis and management of bacterial urinary tract infections in dogs and cats. Vet. J. 247(8), 8–25; doi:10.1016/j.tvjl.2019.02.008

Weiss, D.J and Wardrop, K.J. 2010. Clinical hematology of the dog and cat. In Schalm’s Veterinary Hematology, 6th. Eds., Weiss, D.J. and Wardrop, K.J. Hoboken, NJ: Wiley-Blackwell, pp: 75–114.

Yang, Y., Higgins, C.H., Rehman, I., Galvao, K.N., Brito, I.L., Bicalho, M.L., Song, J., Wang, H. and Bicalho, R.C. 2019. Genomic diversity, virulence, and antimicrobial resistance of Klebsiella pneumoniae strains from cows and humans. Appl. Environ. Microbiol. 85(6), e02654-18; doi:10.1128/AEM.02654-18

Yu, Z., Wang, Y., Chen, Y., Huang, M., Wang, Y., Shen, Z., Xia, Z. and Li, G. 2020. Antimicrobial resistance of bacterial pathogens isolated from canine urinary tract infections. Vet. Microbiol. 245, 108540; doi:10.1016/j.vetmic.2019.108540

Yudhanto, S., Hung, C.C., Maddox, C.W. and Varga, C. 2022. Antimicrobial resistance in bacteria isolated from canine urine samples submitted to a veterinary diagnostic laboratory, Illinois, United States. Front. Vet. Sci. 9, 867784; doi:10.3389/fvets.2022.867784



How to Cite this Article
Pubmed Style

Ribeiro D, Moraes RSD, Pádua JAMD, Benevenuto LGD, Bernardes AEJ, Magalhães LS, Mendonca MLMD, , Núñez TADL, Barreto MSO, Nogueira RB, Okamoto PTCG. Nonsurgical resolution of renal cortical abscesses in a dog with multidrug-resistant Klebsiella-induced urosepsis. Open Vet. J.. 2025; 15(10): 5391-5399. doi:10.5455/OVJ.2025.v15.i10.57


Web Style

Ribeiro D, Moraes RSD, Pádua JAMD, Benevenuto LGD, Bernardes AEJ, Magalhães LS, Mendonca MLMD, , Núñez TADL, Barreto MSO, Nogueira RB, Okamoto PTCG. Nonsurgical resolution of renal cortical abscesses in a dog with multidrug-resistant Klebsiella-induced urosepsis. https://www.openveterinaryjournal.com/?mno=264513 [Access: January 25, 2026]. doi:10.5455/OVJ.2025.v15.i10.57


AMA (American Medical Association) Style

Ribeiro D, Moraes RSD, Pádua JAMD, Benevenuto LGD, Bernardes AEJ, Magalhães LS, Mendonca MLMD, , Núñez TADL, Barreto MSO, Nogueira RB, Okamoto PTCG. Nonsurgical resolution of renal cortical abscesses in a dog with multidrug-resistant Klebsiella-induced urosepsis. Open Vet. J.. 2025; 15(10): 5391-5399. doi:10.5455/OVJ.2025.v15.i10.57



Vancouver/ICMJE Style

Ribeiro D, Moraes RSD, Pádua JAMD, Benevenuto LGD, Bernardes AEJ, Magalhães LS, Mendonca MLMD, , Núñez TADL, Barreto MSO, Nogueira RB, Okamoto PTCG. Nonsurgical resolution of renal cortical abscesses in a dog with multidrug-resistant Klebsiella-induced urosepsis. Open Vet. J.. (2025), [cited January 25, 2026]; 15(10): 5391-5399. doi:10.5455/OVJ.2025.v15.i10.57



Harvard Style

Ribeiro, D., Moraes, . R. S. D., Pádua, . J. A. M. D., Benevenuto, . L. G. D., Bernardes, . A. E. J., Magalhães, . L. S., Mendonca, . M. L. M. D., , Núñez, . T. A. D. L., Barreto, . M. S. O., Nogueira, . R. B. & Okamoto, . P. T. C. G. (2025) Nonsurgical resolution of renal cortical abscesses in a dog with multidrug-resistant Klebsiella-induced urosepsis. Open Vet. J., 15 (10), 5391-5399. doi:10.5455/OVJ.2025.v15.i10.57



Turabian Style

Ribeiro, Diego, Reiner Silveira De Moraes, Josiane Aparecida Martiniano De Pádua, Luiz Guilherme Dercore Benevenuto, Alda Esteves Junqueira Bernardes, Laura Soares Magalhães, Maria Luiza Maciel De Mendonca, Júlio César Nascimento De Cerqueira Júnior, Teresa Alessandra De Lima Núñez, Maira Souza Oliveira Barreto, Rodrigo Bernardes Nogueira, and Priscylla Tatiana Chalfun Guimarães Okamoto. 2025. Nonsurgical resolution of renal cortical abscesses in a dog with multidrug-resistant Klebsiella-induced urosepsis. Open Veterinary Journal, 15 (10), 5391-5399. doi:10.5455/OVJ.2025.v15.i10.57



Chicago Style

Ribeiro, Diego, Reiner Silveira De Moraes, Josiane Aparecida Martiniano De Pádua, Luiz Guilherme Dercore Benevenuto, Alda Esteves Junqueira Bernardes, Laura Soares Magalhães, Maria Luiza Maciel De Mendonca, Júlio César Nascimento De Cerqueira Júnior, Teresa Alessandra De Lima Núñez, Maira Souza Oliveira Barreto, Rodrigo Bernardes Nogueira, and Priscylla Tatiana Chalfun Guimarães Okamoto. "Nonsurgical resolution of renal cortical abscesses in a dog with multidrug-resistant Klebsiella-induced urosepsis." Open Veterinary Journal 15 (2025), 5391-5399. doi:10.5455/OVJ.2025.v15.i10.57



MLA (The Modern Language Association) Style

Ribeiro, Diego, Reiner Silveira De Moraes, Josiane Aparecida Martiniano De Pádua, Luiz Guilherme Dercore Benevenuto, Alda Esteves Junqueira Bernardes, Laura Soares Magalhães, Maria Luiza Maciel De Mendonca, Júlio César Nascimento De Cerqueira Júnior, Teresa Alessandra De Lima Núñez, Maira Souza Oliveira Barreto, Rodrigo Bernardes Nogueira, and Priscylla Tatiana Chalfun Guimarães Okamoto. "Nonsurgical resolution of renal cortical abscesses in a dog with multidrug-resistant Klebsiella-induced urosepsis." Open Veterinary Journal 15.10 (2025), 5391-5399. Print. doi:10.5455/OVJ.2025.v15.i10.57



APA (American Psychological Association) Style

Ribeiro, D., Moraes, . R. S. D., Pádua, . J. A. M. D., Benevenuto, . L. G. D., Bernardes, . A. E. J., Magalhães, . L. S., Mendonca, . M. L. M. D., , Núñez, . T. A. D. L., Barreto, . M. S. O., Nogueira, . R. B. & Okamoto, . P. T. C. G. (2025) Nonsurgical resolution of renal cortical abscesses in a dog with multidrug-resistant Klebsiella-induced urosepsis. Open Veterinary Journal, 15 (10), 5391-5399. doi:10.5455/OVJ.2025.v15.i10.57